MRI wyklucza inne choroby – jaka jest jego prawdziwa rola w psychiatrii?
- Głównym celem rezonansu magnetycznego w psychiatrii jest diagnostyka różnicowa, czyli wykluczenie organicznych przyczyn objawów, takich jak guz mózgu czy stwardnienie rozsiane.
- Standardowe badanie MRI nie służy do bezpośredniego diagnozowania większości chorób psychicznych, np. depresji, schizofrenii czy zaburzeń lękowych.
- Badania naukowe wykazują subtelne, statystyczne zmiany w mózgach osób z chorobami psychicznymi, ale nie są one na tyle specyficzne, by stanowić podstawę diagnozy u pojedynczego pacjenta.
- Rezonans jest kluczowym narzędziem diagnostycznym w przypadku chorób neurodegeneracyjnych (np. choroby Alzheimera), które często zaczynają się od objawów psychicznych.
Jako psychiatra, często zlecamy rezonans magnetyczny głowy, ale nie po to, by od razu zdiagnozować depresję czy schizofrenię. Głównym powodem jest tak zwana diagnostyka różnicowa. Chodzi o to, aby mieć pewność, że objawy psychiczne, które obserwujemy u pacjenta, nie są spowodowane przez inną, fizyczną chorobę mózgu lub układu nerwowego. Mózg jest niezwykle złożonym organem, a wiele schorzeń neurologicznych może manifestować się symptomami, które na pierwszy rzut oka wyglądają jak zaburzenia psychiczne.
Istnieją konkretne sytuacje, w których badanie MRI jest szczególnie wskazane. Zawsze zalecam je, gdy mamy do czynienia z nietypowym przebiegiem choroby, na przykład gdy objawy pojawiają się nagle u osoby w późniejszym wieku, która nigdy wcześniej nie miała problemów psychicznych. Inne alarmujące sygnały to oporność na standardowe leczenie lub współwystępowanie objawów neurologicznych, takich jak silne bóle głowy, zaburzenia równowagi, drętwienia czy osłabienie kończyn. W takich przypadkach MRI pozwala nam wykluczyć organiczne podłoże problemów, co jest kluczowe dla właściwego planowania terapii.Rezonans magnetyczny pomaga nam wykluczyć szereg chorób i stanów organicznych, które mogą imitować lub nasilać zaburzenia psychiczne. Oto niektóre z nich:
- Guzy mózgu
- Tętniaki
- Stwardnienie rozsiane
- Zmiany zapalne (np. zapalenie mózgu)
- Zmiany pourazowe
- Zmiany otępienne (np. choroba Alzheimera, otępienie czołowo-skroniowe)
- Udar mózgu
- Wodogłowie
Czy rezonans magnetyczny może wykryć schizofrenię?
W badaniach naukowych, prowadzonych na dużych grupach pacjentów ze schizofrenią, obserwuje się pewne subtelne zmiany strukturalne w mózgu. Na przykład, często notuje się zmniejszoną objętość hipokampu (struktury kluczowej dla pamięci i emocji) oraz powiększenie komór bocznych mózgu. Są to jednak uśrednione wyniki, które pokazują statystycznie istotne różnice między grupą pacjentów a grupą kontrolną. Ważne jest, aby pamiętać, że te zmiany są niewielkie i występują w różnym stopniu u poszczególnych osób.
Niestety, na podstawie samego obrazu MRI nie jest dziś możliwe zdiagnozowanie schizofrenii u konkretnej osoby. Dlaczego? Ponieważ wspomniane zmiany nie są specyficzne wyłącznie dla schizofrenii – mogą występować również w innych chorobach neurologicznych, a nawet u zdrowych osób. Ich nasilenie jest zbyt zmienne, aby mogły stanowić samodzielne kryterium diagnostyczne w codziennej praktyce klinicznej. Diagnoza schizofrenii wciąż opiera się przede wszystkim na szczegółowym wywiadzie klinicznym i obserwacji objawów.
Standardowe badanie MRI nie jest narzędziem do bezpośredniego diagnozowania schizofrenii ani innych chorób psychicznych u pojedynczego pacjenta.
Depresja i CHAD – co rezonans magnetyczny mówi o zaburzeniach nastroju?
Podobnie jak w przypadku schizofrenii, badania naukowe nad depresją i chorobą afektywną dwubiegunową (CHAD) również wskazują na pewne zmiany w objętości substancji szarej i białej mózgu. Co więcej, w tych zaburzeniach coraz częściej wykorzystuje się funkcjonalny rezonans magnetyczny (fMRI). Ta technika pozwala obserwować aktywność mózgu w czasie rzeczywistym, mierząc zmiany w przepływie krwi. Dzięki fMRI odkryto, że u osób z depresją często występują zmiany w aktywności sieci neuronalnych, zwłaszcza w tak zwanej sieci spoczynkowej (DMN – Default Mode Network), która jest nadmiernie aktywna.
Mimo tych fascynujących odkryć naukowych, ani strukturalny MRI, ani funkcjonalny fMRI nie są obecnie standardowymi narzędziami do diagnozowania zaburzeń nastroju w praktyce klinicznej. Badania te dostarczają cennych informacji o mechanizmach chorób, ale nie są wystarczająco precyzyjne ani specyficzne, aby zastąpić tradycyjną diagnozę. Diagnoza depresji czy CHAD nadal opiera się na dokładnym wywiadzie z pacjentem, analizie objawów, ich nasilenia i czasu trwania, a także na ocenie funkcjonowania osoby w życiu codziennym.
Zaburzenia lękowe i OCD a obraz mózgu w badaniu MRI
W przypadku zaburzeń lękowych i zaburzenia obsesyjno-kompulsyjnego (OCD) również prowadzone są intensywne badania z wykorzystaniem zaawansowanych technik MRI. Na przykład, w OCD identyfikuje się nieprawidłowości w funkcjonowaniu określonych obwodów neuronalnych, takich jak pętla korowo-prążkowiowo-wzgórzowo-korowa. Jednak w praktyce klinicznej, główna, praktyczna rola standardowego MRI w kontekście zaburzeń lękowych jest inna. Polega ona przede wszystkim na wykluczeniu organicznych przyczyn somatycznych objawów lęku. Jeśli pacjent cierpi na uporczywe bóle głowy, zawroty głowy, duszności czy inne dolegliwości fizyczne, które nasilają lęk, badanie MRI może pomóc wykluczyć poważne schorzenia neurologiczne. To daje zarówno pacjentowi, jak i lekarzowi pewność, że objawy mają podłoże psychiczne, a nie fizyczne, co jest kluczowe dla dalszego leczenia i zmniejszenia obaw pacjenta.
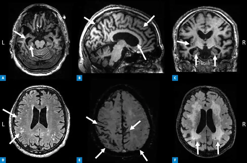
Rezonans magnetyczny a choroby neurodegeneracyjne: kiedy objawy psychiczne to sygnał alarmowy
W przeciwieństwie do większości chorób psychicznych, w diagnostyce chorób neurodegeneracyjnych, takich jak choroba Alzheimera czy otępienie czołowo-skroniowe, rezonans magnetyczny odgrywa absolutnie kluczową rolę. MRI pozwala nam uwidocznić tak zwane zaniki korowe (atrofię), czyli zmniejszenie objętości tkanki mózgowej. Ich lokalizacja i nasilenie, widoczne na obrazach MRI, są podstawowym markerem diagnostycznym. Na przykład, w chorobie Alzheimera często obserwujemy zaniki w płatach skroniowych i ciemieniowych, szczególnie w obrębie hipokampu. W otępieniu czołowo-skroniowym zaniki są najbardziej widoczne w płatach czołowych i skroniowych, co doskonale koreluje z objawami klinicznymi.
Dlatego rezonans jest tak ważny w tych przypadkach. Zaburzenia nastroju, zmiany osobowości czy zachowania, a także problemy z pamięcią i koncentracją mogą być pierwszymi, a czasem nawet jedynymi objawami rozpoczynającego się procesu otępiennego. Jest to szczególnie istotne u osób w starszym wieku, gdzie objawy psychiczne mogą być mylnie interpretowane jako "zwykłe" starzenie się lub typowa depresja. MRI pozwala nam odróżnić te stany i wcześnie zdiagnozować chorobę neurodegeneracyjną, co jest niezwykle ważne dla wdrożenia odpowiedniego leczenia i wsparcia.Przyszłość diagnostyki psychiatrycznej: czy zaawansowane techniki MRI zmienią zasady gry?
Obecnie trwają intensywne badania nad zaawansowanymi technikami obrazowania MRI, które mają potencjał zrewolucjonizować diagnostykę psychiatryczną. Poniżej przedstawiam kilka z nich, wyjaśniając, co dokładnie badają:
| Technika | Co bada? |
|---|---|
| fMRI (funkcjonalny rezonans magnetyczny) | Mierzy zmiany w przepływie krwi w mózgu, co jest wskaźnikiem aktywności neuronalnej. Pozwala obserwować, które obszary mózgu są aktywne podczas wykonywania zadań lub w stanie spoczynku. |
| DTI (obrazowanie tensora dyfuzji) | Analizuje ruch cząsteczek wody w mózgu, co pozwala na wizualizację i ocenę integralności szlaków istoty białej – czyli "kabli" łączących różne obszary mózgu. |
| MRS (spektroskopia rezonansu magnetycznego) | Pozwala na nieinwazyjną ocenę stężenia różnych metabolitów i neuroprzekaźników w mózgu, takich jak glutaminian, GABA czy N-acetyloaspartat, co może wskazywać na zaburzenia biochemiczne. |
Nadzieje wiążemy z poszukiwaniem tak zwanych biomarkerów – czyli obiektywnych wskaźników biologicznych, które mogłyby pomóc w diagnozie, prognozowaniu przebiegu choroby, a nawet w doborze leczenia. W przyszłości, dzięki tym technikom, MRI mogłoby odgrywać kluczową rolę w personalizacji leczenia. Wyobraźmy sobie sytuację, w której na podstawie obrazu aktywności mózgu pacjenta z depresją, lekarz mógłby dobrać najskuteczniejszy dla niego lek antydepresyjny, zamiast stosować metodę prób i błędów. To jednak wciąż perspektywa przyszłości, a nie obecna praktyka kliniczna. Wierzę jednak, że rozwój technologii obrazowania przybliża nas do lepszego zrozumienia i skuteczniejszego leczenia chorób psychicznych.
Przeczytaj również: Bliski ma depresję? Jak pomóc i zadbać o siebie – poradnik
Kluczowe wnioski i co dalej z diagnostyką psychiatryczną?
Podsumowując naszą rozmowę, mam nadzieję, że ten artykuł pomógł rozwiać wątpliwości dotyczące roli rezonansu magnetycznego głowy w psychiatrii. Jasno wynika z niego, że choć MRI jest niezwykle cennym narzędziem, jego głównym zadaniem jest wykluczenie fizycznych przyczyn objawów psychicznych, a nie bezpośrednie diagnozowanie większości zaburzeń.
- Rezonans magnetyczny jest przede wszystkim narzędziem diagnostyki różnicowej, pozwalającym wykluczyć organiczne podłoże objawów psychicznych.
- Standardowe badanie MRI nie służy do bezpośredniego diagnozowania chorób takich jak schizofrenia, depresja czy zaburzenia lękowe, choć badania naukowe wskazują na subtelne zmiany.
- Badanie MRI jest kluczowe w diagnostyce chorób neurodegeneracyjnych, gdzie objawy psychiczne mogą być pierwszym sygnałem choroby.
- Przyszłość diagnostyki psychiatrycznej wiąże się z zaawansowanymi technikami MRI, które mogą otworzyć drogę do personalizacji leczenia, ale to wciąż obszar badań.
Z mojego doświadczenia klinicznego wynika, że zrozumienie ograniczeń i możliwości każdego badania jest kluczowe zarówno dla pacjenta, jak i dla lekarza. Wiem, że oczekiwanie na "obiektywny" wynik, który jednoznacznie wskaże chorobę psychiczną, jest naturalne, ale musimy pamiętać o złożoności ludzkiego mózgu i psychiki. Osobiście wierzę, że przyszłość diagnostyki leży w integracji wielu metod – od szczegółowego wywiadu klinicznego, przez testy psychologiczne, aż po coraz bardziej zaawansowane techniki obrazowania, które pozwolą nam na jeszcze bardziej precyzyjne i spersonalizowane podejście do każdego pacjenta.
Mam nadzieję, że ten artykuł dostarczył Wam cennych informacji. A jakie są Wasze doświadczenia z badaniem MRI w kontekście zdrowia psychicznego? Czy coś Was szczególnie zaskoczyło? Podzielcie się swoimi przemyśleniami w komentarzach poniżej!
